基本信息
- 项目名称:
- 物理和化学诱变因素诱导水稻产生表观遗传变异的研究
- 来源:
- 第十一届“挑战杯”国赛作品
- 小类:
- 生命科学
- 大类:
- 自然科学类学术论文
- 简介:
- 本作品选择重要农作物水稻作为实验材料,水稻是世界主要粮食作物之一,栽培历史已有6000~7000年。经过自然选择以及人工育种,水稻品种大量丰富,稻米品质有了很大提高。航天诱变、γ射线和EMS(甲基磺酸乙酯)处理是水稻育种中常用的诱变方法。在特定条件下处理水稻种子,可以诱导产生大量突变体。其中一些具有特殊性状的突变体如大粒、早熟等可作为育种的种质资源,从而为培育水稻新品种提供良好的材料。而以上三种诱变手段应用于水稻的表观遗传学的研究目前还是空白,其表观遗传变异规律尚不清楚。因此,探讨物理(如航天诱变、γ射线)、化学(如EMS)诱变因素处理是否可以诱导水稻表观遗传变异的产生是具有理论意义和实践价值的。本作品研究结果表明,物理和化学诱变因素处理水稻种子均可以诱导水稻产生表观遗传变异。这一研究结果丰富了人们对于理化诱变因素的认识,对于作物诱变育种和人类健康(如何预防和防护辐射)均具参考价值和指导意义。上述研究结果已完成研究论文3篇,并投稿本领域国际SCI杂志,其中1篇已正式发表,1篇已接受,1篇在审稿中;另有1篇在撰写中。
- 详细介绍:
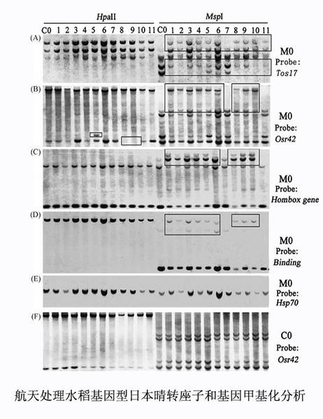
- 人们已知电离辐射、航空诱变等物理因素和EMS(甲基磺酸乙酯)等化学诱变剂可以诱导广泛的遗传变异。近年来遗传学的快速发展导致了一门新分支的产生----即表观遗传学(epigenetics)。表观遗传变异是指不需要DNA序列改变的基因表达的可遗传变异,因此对于动植物种质改良和人类健康都具有重要意义。然而目前尚未有关理化诱变因素诱导表观遗传变异发生的报道。 2003年Nature杂志同时发表了三篇论文报道第一个活跃的水稻内源MITE类转座子,mPing。其中的一篇论文报道了γ射线处理水稻种子,发现诱导细长颖片(slg)的等位基因变异的原因不是射线的直接诱变而是辐射后引起了本来沉默转座子mPing的激活和插入,而转座子的活性受表观遗传学机制调控。其他科学家的研究表明,γ射线处理具有诱变作用,并可影响细胞的多种生理活动。γ射线处理植物水稻是否可以影响基因组的表观状态以及转座子的活性等表观遗传变异目前尚不清楚。 表观遗传学是指没有DNA序列变异的基因表达的改变,因此对于动植物遗传改良和人类健康都具有重要意义。以上三种诱变手段应用于植物的表观遗传学的研究目前还是空白,这激起我们小组的极大兴趣。因此,我们研究了航天诱变、γ射线辐射和EMS分别处理条件下能否引起转座子激活和DNA甲基化变异,基因表达变异及其世代间的传递,同时也对其表观遗传调控的机制进行探讨。希望通过对γ射线辐射和EMS诱导转座子的激活进一步理解转座子的激活转座规律。此外,通过研究诱变引起DNA甲基化的变异特点,试图揭示DNA甲基化改变与转座子活性之间的关系。表观遗传在植物生长发育过程中起着极其重要的作用,进而在作物改良中具有巨大潜力。希望本文研究结果能够为作物诱变育种提供新的理论依据,对于水稻高产优质育种具有重要的理论意义和应用价值。 航天育种是利用卫星、飞船等返回式航天器将作物的种子、组织、器官或生命个体搭载到宇宙空间, 在强辐射、微重力、高真空等太空诱变因子作用下, 使其发生遗传性状变异,利用其有益变异选育出农作物新品种的育种新技术。然而,未见国内外对于航空诱变产生表观遗传变异的相关研究。 EMS是水稻育种中一种常用的化学诱变剂。在适宜的条件下诱导水稻,能够产生多种突变体。其中一些有益的突变体可作为育种的种质资源,从而为培育水稻新品种提供良好的材料。但这种诱变剂诱导出的水稻突变体的基因组DNA甲基化变异尚不清楚。甲基化水平的高低,直接影响着基因的表达和调控。 内源DNA的甲基化是真核生物的表观遗传调控的重要组成部分。研究特定条件下DNA甲基化的变异模式有助于我们全面的理解DNA甲基化的表观调控生物学功能。航天诱变、γ射线和EMS处理育种是水稻育种中常用的诱变方法,能有效诱导植物发生大规模的表型变异并育成具有优良性状的新品种。 本项目选择既是模式植物也是重要农作物的水稻为实验材料,探讨了物理诱变(航天诱变和γ射线辐射)及化学诱变剂(EMS)分别处理条件下能否引起转座子活跃,DNA甲基化变异和基因表达变异等表观遗传变异及其在世代间的传递模式。旨在初步探讨物理和化学诱变因素诱导水稻产生表观遗传变异的分子基础。 实验结果表明,经航天处理后,水稻日本晴中的转座子和基因发生甲基化和基因表达的变异。Southern杂交结果表明,胁迫诱导后转座子和基因都发生了超甲基化的变异,在转座子中,CG位点和CNG位点都可发生超甲基化的变异,而在基因中这种超甲基化变异只发生在CNG位点。进一步的研究表明,这种甲基化变异的活性可以不同程度的传递给后代。对与负责建立和维持胞嘧啶的甲基化类型和/或染色质结构的基因的表达状态的RT-PCR分析表明,发生的超甲基化变异与去甲基化酶(DME)的表达的明显降低有关。用RT-PCR的方法分析了发生甲基化变异的转座子和基因的表达情况,结果表明不同的基因呈现不同的应答有的上调有的下调,并且这种基因表达的变异也可以一定程度的传递给后代。航天诱导产生的这些表观多样性及其可遗传性可为探讨航天员的健康安全以及航天育种提供一定的参考价值。 经γ射线处理后,水稻基因型日本晴和松前萌发率、成苗率明显低于对照,抽穗期明显推迟。并且松前部分处理单株出现约3%的白化苗,远高于自然条件下的白化频率。通过对转座子mPing 进行特异引物扩增,分别从2个水稻基因型日本晴和松前中筛选出mPing发生激活的变异单株各一株。甲基化敏感扩增多态性(MSAP)分析结果显示,2个变异单株未发生全基因组范围内大规模的甲基化变异。转座子展示(TD)分析发现mPing的活跃插入和跳出现象,其插入靶位点为TTA或TAA进一步证实了mPing的激活。 经5种浓度的EMS处理水稻品种松前,发现只有0.4%浓度处理的植株变异比较大,变异频率高达22%,且植株变异类型非常丰富,出现了高频率的白穗、白绿叶、矮株、分蘖少、晚熟等变异。MSAP分析表明,表型变异明显群体的甲基化变异程度较表型变异不明显的群体程度高,这也暗示了基因组个别位点的甲基化变化在一定程度上影响了基因的表达。Southern杂交结果与MSAP分析基本一致。 上述研究结果表明,物理和化学诱变因素处理水稻种子均可以诱导其产生表观遗传变异。这一结果丰富了人们对于理化诱变因素的认识,对于作物诱变育种和人类健康(如何预防和防护辐射)均具参考价值和指导意义。
作品专业信息
撰写目的和基本思路
- 人们已知电离辐射、航空诱变等物理因素和EMS(甲基磺酸乙酯)等化学诱变剂可以诱导广泛的遗传变异,然而目前尚未有关于理化诱变因素诱导表观遗传变异发生的报道。本研究以水稻为材料,研究航天、γ射线和EMS三种条件分别处理下,能否引起转座子激活、DNA甲基化和基因表达变异等表观遗传变异及其在世代间的传递模式,并试图通过研究DNA甲基化变异的特点,揭示DNA甲基化变异与转座子活性之间的关系。
科学性、先进性及独特之处
- γ射线、航空诱变和EMS可以诱导植物产生广泛的遗传变异,但是,目前关于这三种诱变手段应用于植物表观遗传变异的研究还是空白。本研究首次从分子水平上证实航天,γ射线和EMS均可以诱导包括转座子激活、DNA甲基化和基因表达改变的表观遗传变异;筛选出一批可能的水稻表观遗传变异突变体,其中有的突变体(如大粒)可能具有育种价值。
应用价值和现实意义
- 研究发现,物理和化学诱变因素处理水稻种子可以诱导其产生大量突变体,其中有益的可作为育种的种质资源,培育水稻新品种。但理化因素诱导水稻发生表观遗传变异的研究目前还是空白,其表观遗传变异机制尚不清楚。因此,关于航天、γ射线和EMS这三种条件诱变处理水稻发生表观遗传变异如转座子激活、DNA甲基化和基因表达变异的研究,对水稻高产优质育种具有重要的理论意义和应用价值。
学术论文摘要
- 经航天处理后,水稻日本晴中的转座子和基因发生甲基化和基因表达的变异。这种甲基化变异的活性可以不同程度的传递给后代。RT-PCR分析表明,发生的超甲基化变异与去甲基化酶(DME)的表达明显降低有关,并且这种基因表达的变异也可以一定程度的传递给后代。 经γ射线处理后,水稻基因型日本晴和松前萌发率、成苗率明显低于对照,抽穗期明显推迟。并且松前部分处理单株出现约3%的白化苗,远高于自然条件下的白化频率。转座子mPing特异引物扩增,分别从水稻基因型日本晴和松前中筛选出mPing发生激活的变异单株各一株。转座子展示(TD)分析发现mPing的活跃插入和跳出现象,其插入靶位点为TTA或TAA,进一步证实了mPing的激活。 经5种浓度的EMS处理水稻品种松前,发现只有0.4%浓度处理的植株变异比较大,变异频率高达22%,且植株变异类型非常丰富,出现了高频率的白穗、白绿叶、矮株、分蘖少、晚熟等变异。MSAP分析表明,表型变异明显群体的甲基化变异程度较表型变异不明显的高,这也暗示了基因组个别位点的甲基化变化在一定程度上影响了基因的表达。Southern杂交结果与MSAP分析基本一致。
获奖情况
- 本作品获2009年某校大学生课外学术科技作品竞赛自然科学类特等奖和2009年省级“挑战杯”大学生课外学术科技作品竞赛自然科学类特等奖。(自然科学类仅此一项) 本作品已完成2篇研究论文,并投稿本领域国际SCI杂志,其中1篇已正式发表,1篇在审稿中;此外,另有1篇在撰写中。 以下是本研究完成的论文: 1. Spaceflight induces both transient and heritable alterations in DNA methylation and gene expression in rice (Oryza sativa L.). Mutation Research - Fundamental and Molecular Mechanisms of Mutagenesis 2009, 662: 44–53 (SCI, IF=4.1) 2. The spaceflight environment can induce transpositional activation of multiple endogenous transposable elements in a genotype-dependent manner in rice (in press) (SCI,IF=2.3) 3. Spaceflight-induced genetic and epigenetic changes in the rice genome are independent of each other. Advance in Space Research (in revision) (SCI) 4. Variation of DNA methylation and mobilization of the active MITE transposon mPing and its putative autonomous element Pong in rice by γ-ray irradiation (manuscript in preparation)
鉴定结果
参考文献
- 1. Jiang N, Bao Z, Zhang X,et al. An active DNA transposon family in rice[J]. Nature,2003,421:163-167. 2. Kikuchi K, Terauchi K, Wada M,et al. The plant MITE mPing is mobilized in anther culture [J]. Nature 2003, 421:167-170. 3. Nakazaki T, Okumoto Y, Horibata A, et al. Mobilization of a transposon in the rice genome [J]. Nature, 2003, 421:170-172. 4. E.J.Finnegan. Epialleles—a source of random variation in times of stress. Curr.Opin. Plant Biol. 2002,5:101–106. 5. E.J.Richards, Inherited epigenetic variation—revisiting soft inheritance, Nat. Rev. Genet. 2006,7:395–401. 6. L.N. Lukens, S. Zhan, The plant genome’s methylation status and response to stress: implications for plant improvement, Curr. Opin. Plant Biol. 2007,10:317–322. 7. J. Molinier, G. Ries, C. Zipfel, B. Hohn, Transgeneration memory of stress in plants, Nature ,2006,442:1046–1049. 8. McClintock B. The significance of responses of the genome to challenge[J]. Science, 1984, 226:792-801.
同类课题研究水平概述
- 本项目选择水稻作为实验材料,水稻是世界主要粮食作物之一,栽培历史已有6000~7000年。经过自然选择以及人工育种,水稻品种大量丰富,稻米品质有了很大提高。γ射线和EMS(甲基磺酸乙酯)是传统的人工育种诱变剂,航天诱变为近年作物育种的新方向,这三种诱变手段能有效诱导植物发生大规模的表型变异并育成具有优良性状的新品种。近年来,分子生物学技术蓬勃发展,相关的分子水平的研究迅速展开。 人们已知电离辐射、航空诱变等物理因素和EMS等化学诱变剂可以诱导广泛的遗传变异,然而目前尚未有关理化诱变因素诱导水稻产生表观遗传变异的报道。表观遗传学是指不需要DNA序列改变而形成的基因表达的可遗传改变。主要通过DNA甲基化、转座子活跃、组蛋白修饰、染色质重塑和RNA介导的基因沉默等机制来调控植物的生长发育,对于动植物遗传改良和人类健康都具有重要意义。因此,研究航天、γ射线和EMS诱变处理水稻能否引起转座子激活、DNA甲基化和基因表答等表观遗传变异,具有很大的研究价值。 另外诱变引起的表观遗传变异是否会遗传给后代?遗传机制又如何?沉默的转座子可否被激活然后将其活跃的状态遗传给后代,活跃可能是暂时的(局限于激活当代),有时能持续几代的继续激活。DNA甲基化是植物体潜在的基本的基因组防御体系,它随环境刺激和基因组改变而调整其生理机制,对外界刺激做以应答。特殊的环境条件刺激能否引起植物基因组DNA可遗传的甲基化变异,遗传机制如何?这种表观机制如何影响转座子活性、调控DNA甲基化及基因表达变异有待研究。 本论文以模式作物水稻为材料,研究航天诱变、γ射线辐射和EMS分别处理条件下能否引起转座子激活、DNA甲基化和基因表达变异,及其在世代间的传递,同时也对其表观遗传调控的机制进行探讨。希望通过研究航天诱变、γ射线辐射和EMS诱导转座子激活,进一步理解转座子的激活转座规律。此外,通过研究诱变引起的DNA甲基化变异的特点,试图揭示DNA甲基化改变与转座子活性之间的关系。表观遗传调控在植物生长发育过程中起着极其重要的作用,进而在作物改良中具有尚未被发掘的巨大潜力。本文研究结果能够为作物诱变育种提供新的理论依据,对于水稻高产优质育种具有重要的理论意义和应用价值。





