基本信息
- 项目名称:
- 枇杷叶三萜酸对肺纤维化大鼠肺泡巨噬细胞TNF-α 、 TGF-β1表达的影响
- 来源:
- 第十二届“挑战杯”省赛作品
- 小类:
- 生命科学
- 大类:
- 自然科学类学术论文
- 简介:
- 肺纤维化(PF)是多种弥漫性间质性肺疾病的一种病理改变和共同最终结局。其发病过程可概括为肺泡的免疫和炎症发应、肺实质损伤和受损肺泡修复(纤维化)三个环节,而慢性炎症则是基本的病理过程。肺纤维化作为呼吸系统疾病中的一个疑难重症,死亡率高,属于世界医学难题。我们通过研究枇杷叶三萜酸对博莱霉素A5诱导的肺纤维化大鼠的防治及部分机制的研究,为开发和防治肺纤维化的新药奠定理论的依据。
- 详细介绍:
- 枇杷叶是蔷薇科枇杷属枇杷的叶,是治疗呼吸道炎症性疾病的常见中药之一。本课题组前期研究证实枇杷叶的有效活性部位为三萜酸。枇杷叶三萜酸(TAL)具有明显的抗炎及免疫调节作用,对BCG联用LPS制备的大鼠慢性支气管炎具有防治作用。TAL防治慢支的作用机制可能与其抑制肺泡巨噬细胞(AM)MAPK信号传导通路,从而抑制AM自由基、多种细胞因子、炎症介质及iNOS的表达而抑制炎症反应有关。鉴于慢性支气管炎及肺纤维化均为慢性炎症表现,且慢性气道炎症为肺纤维化的前期阶段,课题组进一步探讨了TAL对肺纤维化的防治作用及其作用机制。研究在博来霉素诱导的肺纤维化模型中肺泡巨噬细胞分泌细胞因子的变化及对肺成纤维细胞功能的影响,进一步探讨TAL对肺泡巨噬细胞细胞因子表达的影响,进一步完善肺纤维化的发病机制研究,为将TAL开发为治疗非纤维化的药物提供依据。
作品专业信息
撰写目的和基本思路
- 目的:研究枇杷叶三萜酸(TAL)对博莱霉素A5诱导的肺纤维化大鼠的防治及部分机制研究。 基本思路:通过气管内一次性滴注盐酸平阳霉素(5 mg/kg)复制大鼠肺纤维化模型。采用RT-PCR法及ELISA法分别检测肺泡巨噬细胞(AM)中TNF-α、TGF-β1 mRNA及蛋白的表达,进一步探讨TAL防治肺纤维化的作用机制,为将其开发为治疗肺纤维化的新药奠定理论依据。
科学性、先进性及独特之处
- 本实验室前期研究发现TAL对慢性支气管炎大鼠有良好的防治作用,由于炎症反应是肺纤维化的前期阶段,课题组前期已经通过检测肺纤维化大鼠血清中丙二醛(MDA)的含量和超氧化物歧化酶(SOD)的活力变化证实TAL防治肺纤维化与抑制脂质过氧化有关,此外,TAL能够降低博莱霉素A5诱导的肺纤维化大鼠肺组织中I 型胶原和Ⅲ型胶原的表达。
应用价值和现实意义
- 针对目前肺纤维化病理机制未明,临床上没有疗效确切的治疗药物,探讨其发病机制,寻找疗效确切、毒副作用相对较小的治疗药物具有非常重要的实际意义。研究显示,肺纤维化为一种慢性炎症引起的疾病,可能由于炎症的扩散和基质代谢紊乱引起。而中药具有毒副作用小等优势。因此,研究TAL对肺纤维化的防治作用及其机制,尤其是肺泡巨噬细胞炎症因子TNF-α等表达的影响具有十分重要意义
学术论文摘要
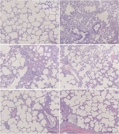
- 摘要 目的 研究枇杷叶三萜酸(TAL)对博莱霉素A5诱导的肺纤维化大鼠的防治及部分机制研究。 方法 通过气管内一次性滴注盐酸平阳霉素(5 mg/kg)复制大鼠肺纤维化模型。治疗组于造模后第2天开始灌胃给予不同剂量的TAL或地塞米松。各组大鼠于给药后第28天,取固定部位肺组织石蜡切片HE染色和masson染色;采用RT-PCR法检测肺泡巨噬细胞(AM)中TNF-α、TGF-β1 mRNA的表达;ELISA检测AM培养上清中TNF-α、TGF-β1蛋白的表达。结果 病理学切片显示TAL能明显改善模型组大鼠肺脏组织结构,减轻肺纤维化增生程度。同时,TAL(150,450 mg/kg)能明显降低肺纤维化大鼠肺泡巨噬细胞中TNF-α、TGF-β1 mRNA和蛋白的表达。结论 TAL对大鼠肺纤维化有一定的防治作用,其机制可能与减少肺泡巨噬细胞中TNF-α、TGF-β1生成有关。
获奖情况
- 2011年安徽省第四届“挑战杯”合锻股份大学生课外学术科技作品竞赛“三等奖”。
鉴定结果
- 内容属实,课题有助于进一步研究枇杷叶三萜酸的防治肺纤维化的作用机制研究,为将其开发为防治肺纤维化的新药奠定理论的依据
参考文献
- References [1] Prasse A, Pechkovsky DV, Toews GB, Jungraithmayr W, Kollert F, Goldmann T, Vollmer E, Müller-Quernheim J, Zissel G. A vicious circle of alveolar macrophages and fibroblasts perpetuates pulmonary fibrosis via CCL18. Am J Respir Crit Care Med 2006;173:781-92.
同类课题研究水平概述
- 肺纤维化的病因及发病机制亦未完全阐明。目前认为,肺纤维化发病后的机体免疫功能状态直接和(或)间接影响肺纤维化的发生和发展,因此纠正或调节机体免疫功能紊乱可能也是防治肺纤维化的重要手段之一。目前尚无有效的治疗策略能有效的阻止肺纤维化自然进程。主要着眼于抗炎、镇咳、平喘作用的对症治疗,至今尚无令人十分满意的药物,因此有关治疗肺纤维化的药物尤其是改善机体功能状态的免疫调节药物的研究具有重要的临床意义。 肺成纤维细胞在肺纤维化发生发展中起主导作用。肺成纤维细胞是肺内合成ECM的最主要细胞。在炎症/纤维化进展过程中,肺成纤维细胞可发生表型的转化而活化,最终导致ECM积聚而发生肺纤维化。细胞因子网络调节对肺成纤维细胞活化起着重要的作用。在肺损伤过程中, 细胞与细胞间,基质与肺成纤维细胞间存在多种细胞因子构成的复杂肺成纤维细胞激活调节网络。由于肺泡巨噬细胞是慢性炎症过程中细胞因子的主要来源,在慢性炎症反应中发挥重要的作用,因此,研究肺泡巨噬细胞对肺成纤维细胞活化增殖的作用,探讨其在肺纤维化病程中发挥的作用已受到普遍关注。 肺纤维化病程中,AM通过释放多种细胞因子参与肺成纤维细胞表型转化及纤维化的形成,但其确切作用的细胞因子、细胞信号传导通路目前尚不清楚,因此探讨肺纤维化病程中肺泡巨噬细胞发挥作用的主要分子及药物作用,有助于进一步了解肺纤维化的病理机制,为临床开发与筛选对肺纤维化有效的治疗药物提供新的思路。 枇杷叶是蔷薇科枇杷属枇杷的叶,是治疗呼吸道炎症性疾病的常见中药之一。本课题组前期研究证实枇杷叶的有效活性部位为三萜酸。枇杷叶三萜酸(TAL)具有明显的抗炎及免疫调节作用,对BCG联用LPS制备的大鼠慢性支气管炎具有防治作用。TAL防治慢支的作用机制可能与其抑制肺泡巨噬细胞(AM)MAPK信号传导通路,从而抑制AM自由基、多种细胞因子、炎症介质及iNOS的表达而抑制炎症反应有关。鉴于慢性支气管炎及肺纤维化均为慢性炎症表现,且慢性气道炎症为肺纤维化的前期阶段,课题组进一步探讨了TAL对肺纤维化的防治作用及其作用机制。研究在博来霉素诱导的肺纤维化模型中肺泡巨噬细胞分泌细胞因子的变化及对肺成纤维细胞功能的影响,进一步探讨TAL对肺泡巨噬细胞细胞因子表达的影响,进一步完善肺纤维化的发病机制研究,为将TAL开发为治疗非纤维化的药物提供依据,此研究国内外未见相关报道。





