基本信息
- 项目名称:
- 咖啡因对大鼠酒精性肝纤维化的防治作用及机制研究
- 来源:
- 第十二届“挑战杯”省赛作品
- 小类:
- 生命科学
- 大类:
- 自然科学类学术论文
- 简介:
- 酒精性肝病是一种长期过度饮酒引起的肝脏疾病,肝纤维化以细胞外基质增生为特征,星状细胞的激活和增殖是ALD发病的中心环节。咖啡因是日常饮料咖啡、茶叶中的主要成分,近年来多项研究报道饮用以咖啡因为基础的饮料能够降低患肝脏疾病的概率,但其作用机理尚未阐明。本实验观察咖啡因(CAF)对大鼠酒精性肝纤维化的防治作用及其对乙醛刺激的大鼠肝星状细胞(HSC)增殖、凋亡的影响及部分作用机制。
- 详细介绍:
- 肝纤维化以细胞外基质(extracellular matrix,ECM)增生为特征,星状细胞(HSC)是一种分布于肝脏肝索与肝窦内皮细胞之间的间隙内的细胞,它的激活和增殖是ALD发病的中心环节。咖啡因是日常饮料咖啡、茶叶中的主要成分,近年来多项研究报道饮用以咖啡因为基础的饮料能够降低患肝脏疾病的概率,但其作用机理尚未阐明。本实验分别以酒精性肝纤维化大鼠和乙醛作为刺激因子诱导大鼠肝星状细胞(HSC)增殖为研究对象[2-5],观察咖啡因(CAF)对大鼠酒精性肝纤维化的防治作用及其对乙醛刺激的大鼠肝星状细胞(HSC)增殖、凋亡的影响及部分作用机制。
作品专业信息
撰写目的和基本思路
- 目的:咖啡因对大鼠酒精性肝纤维化的防治作用及机制研究。 基本思路:肝星状细胞(HSC)的激活和增殖是酒精性肝病发病的中心环节。咖啡因是日常饮料咖啡、茶叶中的主要成分,近年来多项研究报道饮用以咖啡因为基础的饮料能够降低患肝脏疾病的概率,但其作用机理尚未阐明,故进行咖啡因对大鼠酒精性肝纤维化的防治作用及机制的研究。
科学性、先进性及独特之处
- 咖啡因(caffeine,CAF)对乙醛刺激的HSC增殖具有抑制作用,并能够促进其凋亡,对酒精性肝纤维化具有明显的防治作用。咖啡因治疗肝脏疾病的发现是药理学的一大进展,现在此项研究仍处于起始阶段。
应用价值和现实意义
- ALD严重威胁人类健康。目前还没有治疗此病的特效药物,且现有药物较多副作用。咖啡因存在于多种食品、饮料中,使用方便,可通过抑制HSC增殖对酒精性肝纤维化的防治产生明显的效果。
学术论文摘要
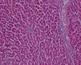
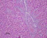
- 目的 观察CAF对大鼠酒精性肝纤维化的防治作用及其对乙醛刺激的大鼠肝星状细胞HSC增殖、凋亡的影响及部分作用机制。方法 采用酒精每天早晚2次灌胃,连续12周,制备大鼠酒精性肝纤维化模型,给药组同时灌服相应浓度CAF。分别于第8周和第12周两个时点处死大鼠,计算肝系数;股动脉采血检测血清中ALT、AST以及HA、LN、PIIINP、CIV的含量,同时进行病理学检查。之后用不同浓度的CAF对乙醛刺激的HSC进行处理,MTT法检测细胞增殖;流式细胞仪检测细胞凋亡及细胞周期分布;RT-PCR法检测HSC中α-SMA、TRAIL受体DR4、DR5的mRNA表达。结果 CAF组大鼠血清中ALT、AST、纤维四项含量较模型组明显下降,CAF组能够改善大鼠肝脏组织结构,缓解纤维化程度。CAF对乙醛刺激的大鼠HSC增殖具有抑制作用,阻滞细胞于G0/G1期;能够明显下调HSC中α-SMA的mRNA表达,上调DR4、DR5的mRNA表达。结论 CAF对大鼠酒精性肝纤维化有明显的防治作用,CAF对乙醛刺激的HSC增殖具有抑制作用,并能够促进其凋亡,其机制可能与TRAIL受体DR4、DR5的表达有关。
获奖情况
- 2011年安徽省第四届“挑战杯”合锻股份大学生课外学术科技作品竞赛二等奖
鉴定结果
- 情况属实,该研究处于起步阶段,且已取得较多成果,为肝病研究开辟了新的研究领域。
参考文献
- [1] 任焱,肖庆贵.等.酒精性肝病临床流调现状[J].综合医学,2008;5(35):55-56 [2] 张 馨,余卫平,高 蕾.乙醛及其刺激的Kupffer细胞对肝星状细胞活化的影响[J].现代医学,2009,37(1):29-32. [4] 孙劲晖.大鼠酒精性肝纤维化星状细胞模型的建立[J].中国老年保健医学,2004,2(1):18-20. [4] 王晓英,阎 明.肝细胞的体外培养及乙醛对肝细胞的形态影响[J].中国实用医药,2008,3(4):13-5. [5] 吴会战,马洪德,张 梅,等.乙醛对大鼠肝星状细胞增殖的影响[J].西南军医,2005,7(2):25-7.
同类课题研究水平概述
- 酒精性肝病的致病因子明确,即与大量酗酒有关,然而其发病机制却相当复杂,目前尚未完全清楚。尽管关于引起肝纤维化和肝硬化的机制还有许多研究,目前仍没有有效的治疗方法。咖啡因是日常饮料咖啡、茶叶中的主要成分,大多数西方国家如美国、英国、法国习惯饮用咖啡,大多数东方国家如中国、印度、日本习惯用茶,还有些国家喜欢含少量咖啡因的可可、“瓜拉那”等,其可通过肝脏代谢。近年来,越来越多报道认为饮用以含咖啡因为基础的饮料可以减少肝脏患病的几率,尤其对嗜酒者效果更加明显。美国研究者2005年发表报告指出在过量饮酒等肝脏损伤高危人群中。咖啡因的摄入常伴随血清丙氨酸转氨酶(ALT)活性升高的风险。进一步研究发现,每日饮2杯以上咖啡或茶,可显著减少罹患酒精肝的几率。Gressener2008年报道,咖啡因基于PPAR-γ及Smad2/3通路能够显著抑制TGF-β诱导的结缔组织生长因子表达,从而可能成为在慢性肝病中抗纤维化的一个选择。而Modi等2010年的流行病学研究进一步证实每天饮2杯以上普通咖啡与肝纤维化的发生呈负相关。咖啡因对大鼠酒精性肝纤维化的防治作用及其机制的研究目前在国内尚属前期研究,这是一个新的研究课题,开辟了肝病治疗研究的新的方向。





